Post Gad

random Radiology Cases..

Friday, August 12, 2011

Petro-Clival Meningioma












Posted by Clinical Correlator at 8:15 AM No comments:
Email ThisBlogThis!Share to XShare to FacebookShare to Pinterest
Labels: CT, Meningioma, MRI, Neuro

Bilateral Facet joint Dislocation

Right Sag

Midline Sag

Left Sag

Reverse Hamburger Sign:
Right Axial 

Left Axial

Posted by Clinical Correlator at 8:08 AM No comments:
Email ThisBlogThis!Share to XShare to FacebookShare to Pinterest
Labels: C-spine, CT, Neuro

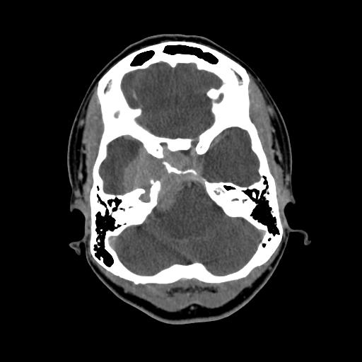
Infectious/Mycotic Aneurysm

Pre-contrast




Post Contrast

Posted by Clinical Correlator at 6:35 AM No comments:
Email ThisBlogThis!Share to XShare to FacebookShare to Pinterest
Labels: CT, CTA, Neuro

Wednesday, August 10, 2011

AVM + Bleed





Posted by Clinical Correlator at 11:10 AM No comments:
Email ThisBlogThis!Share to XShare to FacebookShare to Pinterest
Labels: AVM, CT, CTA, Neuro

Monday, August 8, 2011

Pulmonary Edema & Kerley B lines



 

Posted by Clinical Correlator at 6:17 PM No comments:
Email ThisBlogThis!Share to XShare to FacebookShare to Pinterest
Labels: Chest, CT, CXR

Acoustic Schwannoma


Axial - T1 post gad

Coronal - T1 post gad

Sagittal - T1 post gad
Posted by Clinical Correlator at 6:11 PM No comments:
Email ThisBlogThis!Share to XShare to FacebookShare to Pinterest
Labels: MRI, Neuro, Shwannoma

Friday, August 5, 2011

Sinus Osteoma



Posted by Clinical Correlator at 12:31 PM No comments:
Email ThisBlogThis!Share to XShare to FacebookShare to Pinterest
Labels: CT, Neuro, Sinuses

Thursday, August 4, 2011

Toxo

HIV+




Posted by Clinical Correlator at 7:48 AM No comments:
Email ThisBlogThis!Share to XShare to FacebookShare to Pinterest
Labels: HIV, MRI, Neuro

Wednesday, August 3, 2011

Meningioma







Dural Base
Posted by Clinical Correlator at 9:41 AM No comments:
Email ThisBlogThis!Share to XShare to FacebookShare to Pinterest
Labels: CT, Meningioma, Neuro

Small AVM with Large ICH






Posted by Clinical Correlator at 8:18 AM No comments:
Email ThisBlogThis!Share to XShare to FacebookShare to Pinterest
Labels: AVM, CT, Neuro, Vascular

Huge Brain AVM




Posted by Clinical Correlator at 7:52 AM No comments:
Email ThisBlogThis!Share to XShare to FacebookShare to Pinterest
Labels: AVM, CT, Neuro, Vascular
Newer Posts Older Posts Home
Subscribe to: Comments (Atom)

My Bookshelf

  • Aunt Minnie's Atlas
  • Emergency Radiology: The Requisites
  • Fundamentals of Body Ct
  • Fundamentals of Diagnostic Radiology
  • Gastrointestinal Imaging: The Requisites
  • Neuroradiology: The Requisites
  • Primer of Diagnostic Imaging
  • Radiology Secrets
  • Review of Radiologic Physics
  • Thoracic Radiology: The Requisites
  • Ultrasound: The Requisites

About Me

Clinical Correlator
View my complete profile

More Grayscale..

  • ABR
  • ACR
  • AuntMinnie
  • Learning Radiology
  • Radiolopolis
  • Radiopaedia
  • RadRounds

Labels

AAA (1) Abdomen (11) Anatomy Variants (2) Ankle (1) appendicitis (1) AVM (4) AXR (1) C-spine (2) Cardiac (2) Chest (13) CT (53) CTA (4) CXR (6) foot (1) H&N (1) HIV (1) HN (2) ICU (1) Larynx (1) Liver (3) Meningioma (6) MRI (25) MSK (10) Neuro (43) orbit (1) Pelvis (1) Plain Film (1) shoulder (1) Shwannoma (1) Sinuses (1) Spine. (1) TB (1) Thyroid (1) Trauma (1) Vascular (3) WI (1) WRIST (2) XRAY (9)

Blog Archive

  • ►  2013 (7)
    • ►  November (3)
    • ►  May (2)
    • ►  March (2)
  • ►  2012 (7)
    • ►  December (1)
    • ►  November (1)
    • ►  August (1)
    • ►  June (2)
    • ►  May (2)
  • ▼  2011 (77)
    • ►  November (4)
    • ►  October (4)
    • ►  September (9)
    • ▼  August (11)
      • Petro-Clival Meningioma
      • Bilateral Facet joint Dislocation
      • Infectious/Mycotic Aneurysm
      • AVM + Bleed
      • Pulmonary Edema & Kerley B lines
      • Acoustic Schwannoma
      • Sinus Osteoma
      • Toxo
      • Meningioma
      • Small AVM with Large ICH
      • Huge Brain AVM
    • ►  July (1)
    • ►  June (3)
    • ►  May (6)
    • ►  April (12)
    • ►  March (6)
    • ►  February (18)
    • ►  January (3)
  • ►  2010 (18)
    • ►  December (3)
    • ►  November (3)
    • ►  October (1)
    • ►  September (1)
    • ►  August (9)
    • ►  July (1)

Followers

Search This Blog

Radiation Around the Globe!

hit counter
hit counter
Awesome Inc. theme. Powered by Blogger.