Friday, November 11, 2011
Tuesday, November 1, 2011
Clival Osteomyelitis, Cerebral Abscess and Empyema.
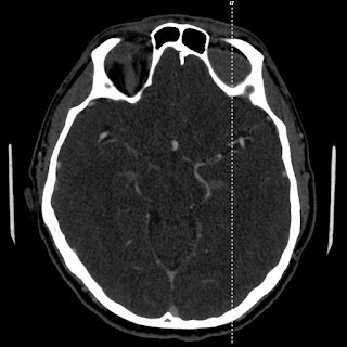
![]() |
| CECT - Empyema |
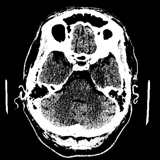
![]() |
| CECT - Right Temporal lobe abscess |
![]() |
| CT - Bone window: Lytic lesion in the clivus. |
![]() |
| Left sphenoid opacification |
![]() |
| Sagittal T1 - Clival lesion |
![]() |
| FLAIR: High signal lesion in left sphenoid and clivus |
FLAIR
DWI - Restriction
Wednesday, October 26, 2011
Friday, October 7, 2011
Trauma - Petrous Bone Fracture
![]() |
| Traumatic SAH |
![]() |
| Left anterior SDH |
![]() |
| Longitudinal petrous bone fracture, with opacification of the mastoid air cells, and pneumocephalus. |
Thursday, October 6, 2011
Friday, September 30, 2011
Thursday, September 29, 2011
Sunday, September 11, 2011
Subscribe to:
Comments (Atom)


















































